CABINET DENTAIRE DU DOCTEUR TRESOR BM - SAINT DIZIER
Chirurgie dentaire ♦ Parodontologie ♦ Esthétique ♦ Implantologie
3 Place du général de Gaulle, 52100 Saint Dizier
+33 3 25 08 50 18
CABINET DENTAIRE DU DOCTEUR TRESOR BM - SAINT DIZIER
Chirurgie dentaire ♦ Parodontologie ♦ Esthétique ♦ Implantologie

L'orthodontie - Page 4

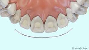
Fil de contention

Conséquence de la perte des dents postérieures

Comment bien utiliser la brossette interdentaire ?

Traitement orthodontique - appareil multi-attache en céramique

Traitement orthodontique - appareil autoligaturant en céramique

Les élastiques de classes ii et iii

Affichage des articles 19-24 sur 52

Création par Webdentiste

Connexion