CABINET DENTAIRE DU DOCTEUR TRESOR BM - SAINT DIZIER
Chirurgie dentaire ♦ Parodontologie ♦ Esthétique ♦ Implantologie
3 Place du général de Gaulle, 52100 Saint Dizier
+33 3 25 08 50 18
CABINET DENTAIRE DU DOCTEUR TRESOR BM - SAINT DIZIER
Chirurgie dentaire ♦ Parodontologie ♦ Esthétique ♦ Implantologie

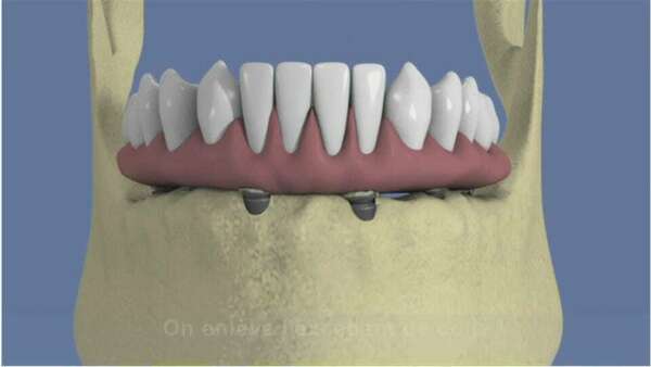
Les prothèses

Prothèse complète vissée sur implant

Maxillaire : all-on-4

Comblement de sinus par voie latérale et implantation simultanée

Mandibule complète et traitement implantaire pour un bridge fixe vissé

Mandibule : all-on-4

Traitement d'une carie par inlay/onlay

Affichage des articles 1-6 sur 56

Création par Webdentiste

Connexion