CABINET DENTAIRE DU DOCTEUR TRESOR BM - SAINT DIZIER
Chirurgie dentaire ♦ Parodontologie ♦ Esthétique ♦ Implantologie
3 Place du général de Gaulle, 52100 Saint Dizier
+33 3 25 08 50 18
CABINET DENTAIRE DU DOCTEUR TRESOR BM - SAINT DIZIER
Chirurgie dentaire ♦ Parodontologie ♦ Esthétique ♦ Implantologie

Les prothèses - Page 2

Traitement d'une carie par inlay/onlay

Maxillaire all-on-6 et comblement de sinus

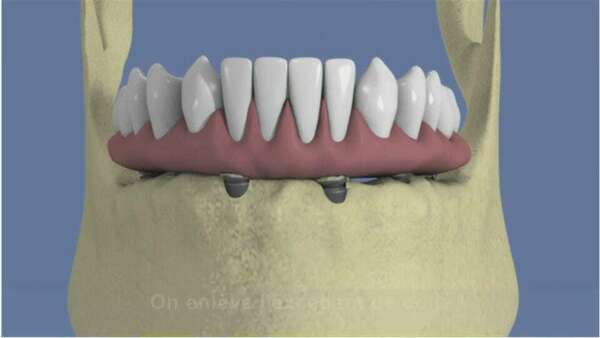
Mandibule complète et traitement implantaire pour un bridge fixe scellé

Comblement de sinus par voie latérale (sinus lift) avec implantation différée

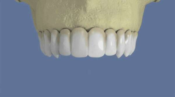
Maxillaire : bridge vissé sans fausse gencive

Fixation d’une prothèse par une barre sur 4 implants

Affichage des articles 7-12 sur 56

Création par Webdentiste

Connexion