CABINET DENTAIRE DU DOCTEUR TRESOR BM - SAINT DIZIER
Chirurgie dentaire ♦ Parodontologie ♦ Esthétique ♦ Implantologie
3 Place du général de Gaulle, 52100 Saint Dizier
+33 3 25 08 50 18
CABINET DENTAIRE DU DOCTEUR TRESOR BM - SAINT DIZIER
Chirurgie dentaire ♦ Parodontologie ♦ Esthétique ♦ Implantologie

Les prothèses - Page 4

Le comblement de sinus par abord crestal

Bridge collé

Comblement osseux après une extraction dentaire

Maxillaire complet et traitement implantaire pour un bridge fixe vissé

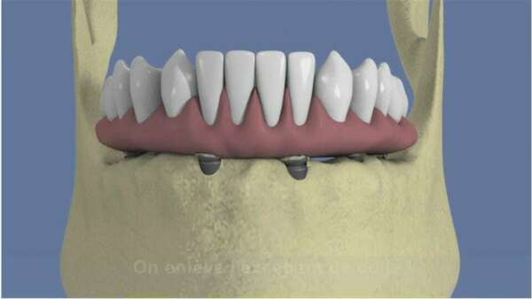
Mandibule complète et traitement implantaire pour un bridge fixe vissé

Mandibule : all-on-4

Affichage des articles 19-24 sur 56

Création par Webdentiste

Connexion