Les prothèses - Page 6

Fixation d’une prothèse par une barre sur 4 implants

Fixation d’une prothèse par une barre sur 4 implants

Fixation d’une prothèse par une barre sur 2 implants

Fixation d’une prothèse par une barre sur 2 implants

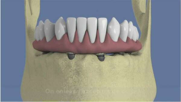
Mandibule complète et traitement implantaire pour un bridge fixe scellé

Mandibule complète et traitement implantaire pour un bridge fixe scellé

Comblement de sinus par voie latérale (sinus lift) avec implantation différée

Comblement de sinus par voie latérale (sinus lift) avec implantation différée

Maxillaire : bridge vissé sans fausse gencive

Maxillaire : bridge vissé sans fausse gencive

Bridge transvissé 4 dents

Bridge transvissé 4 dents

Affichage des articles 31-36 sur 56