CABINET DENTAIRE DU DOCTEUR TRESOR BM - SAINT DIZIER
Chirurgie dentaire ♦ Parodontologie ♦ Esthétique ♦ Implantologie
3 Place du général de Gaulle, 52100 Saint Dizier
+33 3 25 08 50 18
CABINET DENTAIRE DU DOCTEUR TRESOR BM - SAINT DIZIER
Chirurgie dentaire ♦ Parodontologie ♦ Esthétique ♦ Implantologie

L'orthodontie - Page 6

Votre expérience des traitements : 20 ans d'évolution

Le quad helix : traitement du palais et de l’alignement des dents

Orthodontie : la traction d'une canine palatine incluse

Orthodontie : idées reçues, idées revues

Conseils pratiques pour une bonne hygiène bucco-dentaire avec un appareil

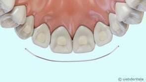
Fil de contention

Affichage des articles 31-36 sur 52

Création par Webdentiste

Connexion